J Korean Dent Assoc > Volume 63(7); 2025 > Article
Son, Kim, Park, Lim, Park, and Jang: 치조골 흡수가 심한 하악 무치악 환자에서의 all-on-5 임플란트 고정성 보철물 수복 증례

Abstract

For a rehabilitation of mandibular edentulous patient whose posterior alveolar bone is severely resorbed, all-on-X concept is considered for esthetic and functional treatment option. this concept includes four or more implants which is located in an anterior area with immediate dental implant loading of fixed prosthesis after the implant installation. in this case, the temporary denture which is well-fabricated and favorably adapted to patient, is used for making 3-dimensional printed implant surgical guide, provisional fixed prosthesis and a final restoration with a digital technology. this digital workflow is not only for planning the accurate position of several implants, but also for esthetically and functionally well-fabricated final restoration. it is an efficient and well-acceptable result for the patient who is already adapted to the temporary denture. a whole treatment period can be shortened by transferring a maxillomandibular relationship of temporary denture to the final prostheses.

서론

구치부에서 심한 치조제 흡수를 보이는 완전 무치악 환자에서 임플란트 고정성 보철물로 수복하는 경우 전치부에 식립하여 즉시 수복하는 all-on-X 개념을 적용할 수 있다. 이는 임플란트 치료가 용이하고 성공률이 높은 상하악의 전방부에 4개 이상의 임플란트를 식립하여 즉시 부하를 가할 수 있는 방식이다[1]. 특히 기존에 의치를 사용하던 환자 중 하악 치조제의 흡수가 가속화되어 의치의 기능이 상실되고 더이상 의치의 사용이 어려운 경우 all-on-X 고정성 보철물을 고려할 수 있다.
All-on-X는 임플란트의 식립 개수와 위치, 그리고 각도에 따라 상부 보철물의 재료와 디자인이 달라진다[2]. 임플란트를 경사지게 식립함으로써 전방부의 양호한 골질을 이용할 수 있고, 식립되는 고정체의 길이가 증가하여 보다 안정적이며 임플란트의 개수를 감소시킬 수 있어 경제적이라는 장점이 있다. 경사진 후방 임플란트를 식립할 때, 전후방 거리(AP spread)를 충분히 확보하여야 후방 연장 캔틸레버의 길이를 감소시킬 수 있다. 전후방 거리를 증가시키는 방법에는 전방부에 임플란트를 1개 더 식립하거나, 임플란트의 경사를 증가시키는 등의 방법이 고려되어야 한다. 또한 임플란트 주위 골의 유한요소 분석을 통한 생역학적 분석은 치료의 성공을 예측할 수 있어, 최근에는 환자 개개인의 최적화된 치료 계획을 세우는 것을 디지털화하는 연구도 진행되고 있는 추세이다[3].
최근 3-dimensional(3D) 프린팅 기술의 발전으로 기존 의치를 사용하던 환자의 경우 의치의 스캔 데이터를 활용하여 all-on-X를 수복할 수 있다. CAD/CAM 방식뿐만 아니라, 3D 프린팅 기술의 도입은 all on X의 즉시 수복을 효율적으로 가능하게 하였다. 기존 의치의 스캔 데이터를 바탕으로 CAD 소프트웨어 프로그램을 통해 all-on-X 임플란트의 이상적인 위치를 선정하고, 임플란트를 식립할 때 사용할 3D 프린팅 가이드, 즉시 부하 임시 보철물, 그리고 최종 보철물까지의 제작이 용이해졌다. 이로써 환자가 적응하였던 기존 의치의 교합 관계와, 악간 관계 정보를 임시 의치를 거쳐 최종 보철까지 이행할 수 있게 되었고, 불필요한 기공 과정이나 치료 기간의 단축, 그리고 환자가 최종 보철에 좀더 빠르게 적응하는데 영향을 미칠 수 있다.
본 증례에서는 기존 임시 의치의 스캔 데이터를 활용하여 디지털 방식으로 임플란트의 이상적인 위치를 계획하고, 기존 의치를 3D 프린팅하여 기존 교합 관계와 악간 관계를 임시 보철물과 최종 임플란트 상부 보철물로 이행함으로써, 상악의 자연 치열에 대합되는 하악 all-on-5 고정성 보철물을 효율적으로 제작할 수 있었다. 결과적으로 총 치료 기간을 단축할 수 있었고 환자의 적응 과정에 도움을 주었기에 이를 보고하고자 한다.

증례

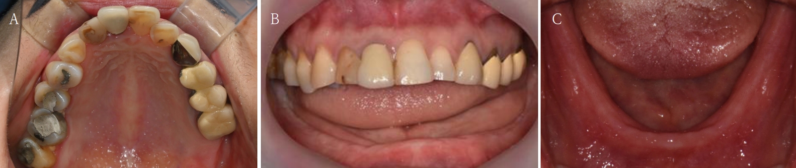
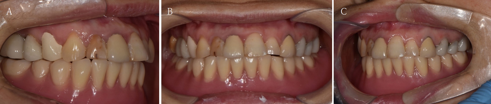
본 증례는 44세 여환으로, 하악 의치가 계속 탈락하여 재제작을 원한다는 주소로 내원하였다. 상악은 고정성 수복물, 그리고 하악은 총의치를 착용 중이었고 하악 양측 구치부의 심한 골 흡수로 인해 유지력 소실로 불편감을 호소하였다. 3개월 전 하악 양측 견치를 발거한 이후로 하악 국소의치를 총의치로 전환하였고, 총의치는 구치부의 심한 교합면 마모와 의치의 후방부가 후구치 삼각 융기를 피개하지 않는 형태였다. 전신 병력으로는 지적장애 및 골관절염으로 약 2개월 간 약물 복용 중이었다. 상악 우측 제1대구치와 제2대구치, 제1소구치 그리고 제2소구치는 우식이 진행된 상태였고, 우측 제2소구치와 우측 제1대구치는 근관치료가 완료된 후 수복되지 않은 상태였다. 상악 좌측 제1소구치와 제2소구치, 그리고 제1대구치 수복물 하방으로 이차 우식이 진행된 상태였고, 전체적으로 교합평면이 균일하지 않은 형태였다(Figs. 1-3).
상악 우측 구치부의 수복되지 않은 치아와 상악 좌측 보철물 하방의 이차 우식이 있는 치아는 모두 우식 제거가 필요하여 양측 구치부 각각 3개의 치아는 재수복을 결정하였고, 하악은 구치부의 심한 치조골 흡수로 인해 의치 사용은 불가할 것으로 판단하여 전방부에 임플란트를 식립하여 구치부는 캔틸레버 형태를 가지는 all-on-X 수복을 계획하였다. 의치의 수직고경에 맞춰 교합 평면을 균일하도록 하여 왁스업 시행하였고(Fig. 4), 이후 적절한 교합 수직 고경의 임시 의치를 제작하였다. 약 2개월의 적응기간을 거쳐 의치 적응도와 수직 교합 고경을 평가하였고 적절한 기능과 심미를 확인하였다. 상악 우측 제1소구치와 제2소구치, 제1대구치 그리고 상악 좌측 제1소구치와 제2소구치, 제1대구치는 우식을 제거한 다음, 임시 보철물로 재수복하여 적절한 교합 평면을 설정하였다(Fig. 5).
환자가 적응한 임시 의치를 모델 스캔(Medit T710, Medit, Seoul, Korea)하여 프린팅용 레진(Graphy Tera Harz SG-100, Graphy, Seoul, Korea)을 이용하여 3D 프린팅하였고, 출력된 의치에 방사선 불투과성 레진(G-æenial Universal Flo, GC, Luzern, Swiss)을 부착하여 레진 마커를 형성하였다. 레진 마커를 부착한 프린팅 의치를 장착한 채로 콘빔 전산화 단층촬영(CBCT, R2 Studio Q, Megagen, Seoul, Korea)를 촬영하였다(Fig. 6). 촬영한 CBCT 데이터와 의치 스캔 파일을 중첩하여 CAD 소프트웨어(R2 Studio Q, Megagen, Seoul)를 통해 이상적인 임플란트 식립을 계획하였다. 전후방 거리를 연장하여 적절한 캔틸레버를 부여하기 위해 전방부에 3개의 임플란트를 식립하고, 양측 후방부에는 약 30도 경사진 임플란트를 식립하도록 계획하였다(Fig. 7).
가이드는 상악의 자연 치열과 대합되는 의치 복제 형태의 상부 가이드, 그리고 가이드 핀이 존재하는 하부 가이드로 이루어지도록 디자인되었다(Fig. 8). 상부 가이드는 임시 의치의 스캔 데이터를 이용해 상부 가이드의 하부면과 하부 가이드의 상부면이 장착되어 구내에서 적합될 수 있도록 CAD 소프트웨어(Meshmixer, Autodesk, San Francisco, CA, USA) 상에서 디자인되었다. 임시 의치의 하부면과 하부가이드의 하부면을 치은과 중첩시켜 어버트먼트의 위치에 홀을 형성한 다음 3D 프린팅(Graphy Tera Harz SG-100, Graphy, Seoul, Korea) 하였다. 수술 당일 장착될 임시 보철물 또한 동일한 CAD 소프트웨어를 통해 제작하였다.
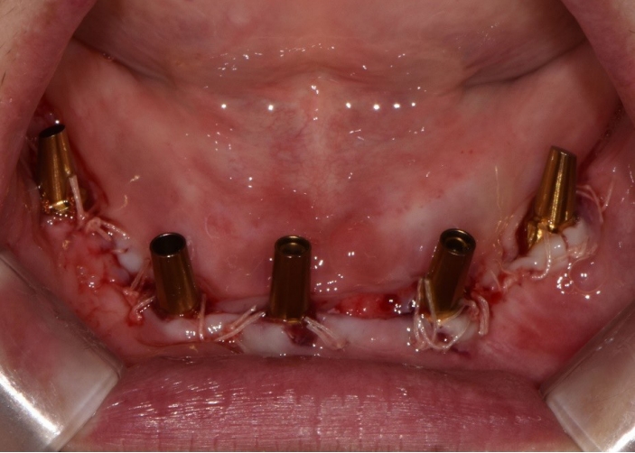
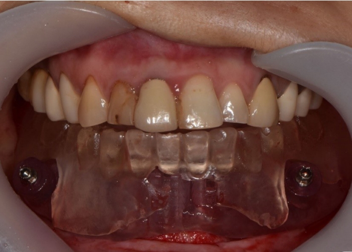
수술 당일 이중 가이드를 구내에 장착하여 하부가이드를 고정 핀으로 고정시킨 후(Fig. 9), 계획된 위치에 임플란트 고정체를 식립하였다. 임플란트는 5개 모두 외부 연결형 고정체(AnyOne External, Megagen, Seoul, Korea)를 사용하였고, 식립 시 식립 토크는 모두 40N 이상, ISQ는 70이상으로 양호한 초기 고정력을 확보하였다(Fig. 10). 즉시 부하를 위해 기성 어버트먼트를 체결하였고, 임시 보철물을 장착하여 양측 소구치부에서의 균일한 교합을 확인하였다(Fig. 11).
임플란트 주위 골과 치은의 회복을 위해 약 2달간 임시 보철물을 경과 관찰하였고, 이후 최종 보철을 위한 인상 채득을 시행하였다. 상하악 임시 보철물을 장착한 중심교합 상태에서 구내 스캔(Trios 4, 3 Shape, Copenhagen, Denmark)을 시행하여 악간 관계를 채득하였다(Fig. 12). 임시 보철물을 제거한 상태에서 하악의 전방부 3개의 임플란트에 scan body(Scan Abutment, Megagen, Seoul, Korea)를 연결하고, 양측 최후방 임플란트 2개에는 각각 Ti base multi-unit abutment(multi-angled abutment, Osstem, Seoul, South of Korea)를 30Ncm으로 체결한 후 multi scan body(TS Multi scanbody, Osstem, Seoul, Korea)를 연결하여 구내 스캔(Trios 4, 3Shape, Copenhagen, Denmark)을 시행하였다. 이후 스캔 바디를 연결하여 채득한 스캔 파일을 상하악 임시 보철물 상태에서 채득한 스캔 파일과 중첩하여 CAD 소프트웨어(exocad GmbH, Darmstadt, Germany)에서 최종 보철물을 디자인하였다(Fig. 13).
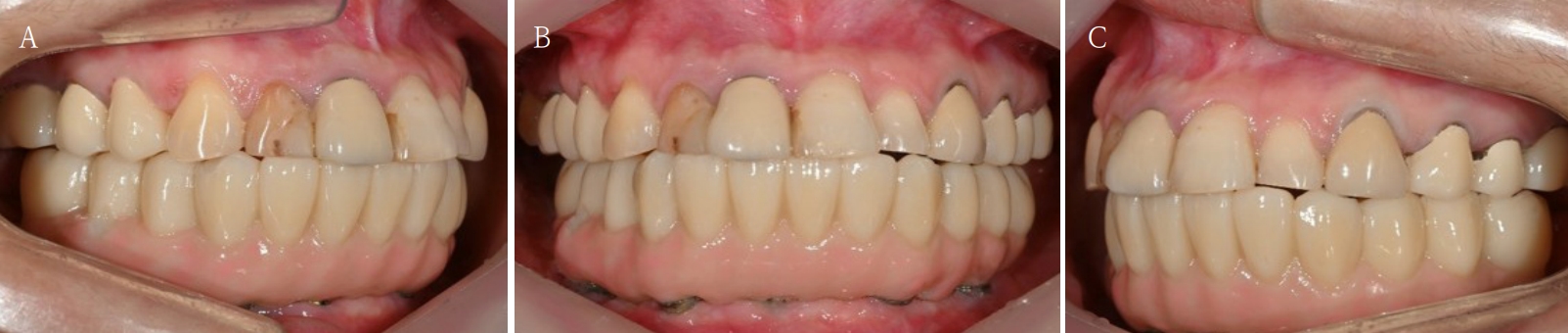
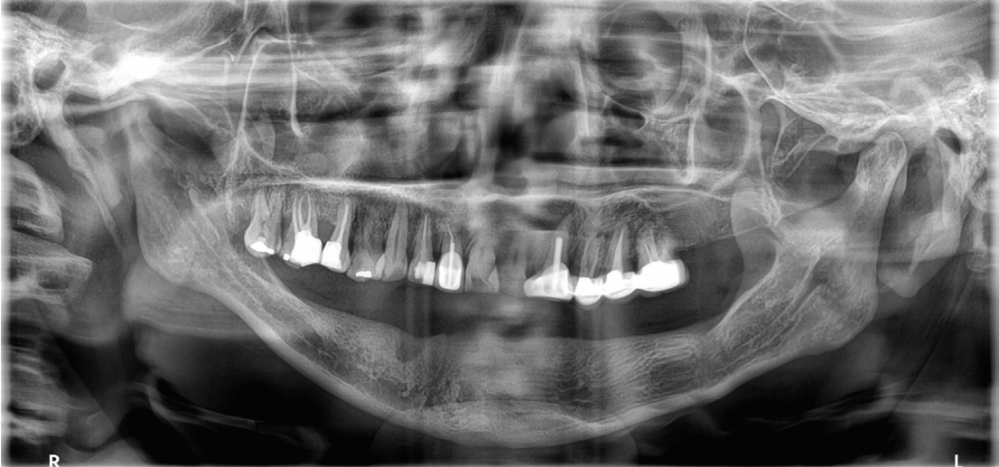
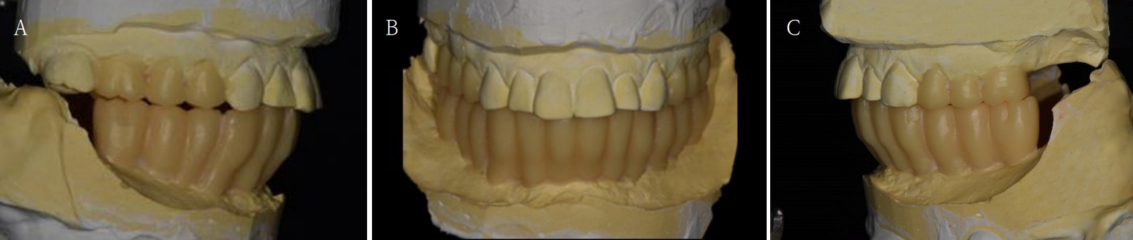
최종 보철물은 양측 최후방 임플란트 고정체에 각각 Ti-base(TS multi Ti base, Osstem, Seoul, Korea)와 접착된 나사 유지형 단일 지르코니아 크라운으로, 지르코니아 블록(Zircen, Kuwotech, Gwangju, Korea)을 밀링하여 제작하였고, 치경부 하방으로 포세린으로 치은 형태를 부여하였다. 전방부 3개의 임플란트 고정체에는 맞춤형 지대주를 제작하여 30N으로 체결하였고, 양측 최후방 고정체는 20Ncm으로 체결한 후 레진 시멘트(Rely X U200; 3M ESPE, St. Paul, MN, USA)로 접착 시행하였다. 장착 후 중심교합시 양측의 제1대구치 부위에서 교합력이 적게 가해지도록 교합 조정 시행하였으며, 전방과 측방운동시에 임플란트 상호보호교합이 되도록 조정하였다. 또한 연결부 하방으로 치실을 통과시켜 치은 점막 사이 공간을 평가하였으며, 구강 위생 관리의 용이성을 확인하였다. 이후 1주, 1개월, 3개월 경과 관찰하였고, 환자는 저작이나 심미, 발음 등에서 만족해하였다(Figs. 14 and 15).

토의

하악의 잔존 치조제의 흡수가 심한 총의치 환자의 경우 의치 사용 부적응으로 인해 임플란트 지지 고정성 보철물을 고려해 볼 수 있다. 본 환자는 하악 총의치의 부적응과 구치부의 심한 치조제 소실로 인해 전치부에 임플란트를 식립하는 all-on-X를 계획하였다. 이 환자의 경우 하악 전방부의 양호한 골질을 고려하여, 전치부의 5개의 임플란트를 식립하여 지지와 안정을 확보하도록 하였다. All-on-5의 경우 전방부에 임플란트 식립 개수를 증가시켜 A-P거리를 확보하고, 후방부의 적절한 캔틸레버의 길이를 형성하여, 기계적 합병증의 발생률 감소에 영향을 미칠 수 있다[4]. All-on-X는 임플란트 식립 개수에 따라 임플란트에 가해지는 응력(stress)과 주위 골에 발생하는 변형률(strain)에 차이를 나타내는데, 4개에 비해 전방부에 1개의 임플란트를 추가하여 5개를 식립한 경우 임플란트의 응력(stress)과 골의 변형률(strain)이 크게 감소하게 된다. 또한 최후방 임플란트가 기울어진 all-on-4에서 하악 전방부 중앙에 임플란트를 추가하게 될 경우 응력 분산을 향상시킬 수 있다.
All-on-X는 대합치나 보철물의 종류에 따라 적절한 교합 양식을 부여해야 한다[5]. 전악 고정성 임플란트 보철의 교합은 보철물의 합병증을 유발시킬 수 있는 가장 중요한 요소 중 하나이다. All-on-X의 대합되는 악궁의 보철물이 마찬가지로 고정성 임플란트 보철물이거나 all-on-X일 경우 측방운동시 군기능교합을 부여해야 하지만, 편악 무치악 환자의 all-on-4 보철물의 교합은 대합 치열이 자연 치열이기 때문에 견치가 건전할 경우 측방교합시 견치 유도 교합 또한 고려해 보아야 한다[6]. 본 증례의 환자는 임플란트 상호 보호 교합을 부여하여 응력 분산을 향상시킬 수 있도록 하였다. Türker 등(2019) [7]에 따르면, all on 4의 임플란트와 주위 치조골에 분산되는 응력 분포를 유한요소분석을 통해 확인해본 결과, 견치 유도 교합일 때가 치조골과 임플란트에 가해지는 응력이 가장 작았다고 보고하였다.
또한 임플란트 즉시 부하 보철과 최종 보철의 제작 과정에서 기존 의치를 활용해 디지털 방식으로 효율적인 디자인이 가능하였다. 기존 임시 의치를 스캔하여 3D 프린터로 출력한 것을 수술 가이드로 활용함으로써, 수술 당시 최종 보철물의 예상 위치를 가시적으로 확인할 수 있었다. 기존의 환자가 적응하였던 의치의 스캔 데이터와 3D 프린팅 방식을 통해 기존 교합 관계와 수직 고경을 유지하여 임시 보철물을 제작하였다. 최종 인상 채득 과정에서, 기존 의치의 교합과 수직 고경이 이행된 임시 보철물을 구강 내 스캔하여 최종 보철까지 이행함으로써 환자의 불편감 감소와 빠른 적응이 가능하도록 하였다.
본 증례는 디지털 방식으로 기존 의치의 스캔 데이터를 활용하여 임플란트의 정확한 위치를 계획하고, 기존 교합 관계와 악간 관계를 임시 보철물과 최종 보철물로 이행하였다. 이로써 상악의 자연 치열에 대합되는 하악의 ‘all-on-5’ 고정성 보철물을 효율적으로 제작할 수 있었기에 이를 보고하는 바이다.

Fig. 1.
Atrophy of mandibular posterior bone is examined by pre-operative intraoral photograph. A. Maxillary occlusal view. B. Frontal view. C. Mandibular occlusal view.
jkda-2025-63-7-001f1.jpg
Fig. 2.
Denture wear is detected in posterior area of old denture. RPD is converted into complete denture after extraction of both canine.
jkda-2025-63-7-001f2.jpg
Fig. 3.
The lower jaw is edentulous with severe alveolar bone loss.
jkda-2025-63-7-001f3.jpg
Fig. 4.
Ideal occlusal plane is developed with diagnostic wax up model. A. Right side view. B. Frontal view. C. Left side view.
jkda-2025-63-7-001f4.jpg
Fig. 5.
The patient is satisfied with the occlusion and vertical dimension of newly fabricated temporary denture. A. Right side view. B. Frontal view. C. Left side view.
jkda-2025-63-7-001f5.jpg
Fig. 6.
A. 3-dimensional (3D) printing denture is marked with radio-opaque resin marker. B. CBCT is taken with the 3D printing denture with marker. C. Superimposition of CBCT and model scan data is completed.
jkda-2025-63-7-001f6.jpg
Fig. 7.
Ideal Implant positioning is planned with CAD software
jkda-2025-63-7-001f7.jpg
Fig. 8.
A. Under part of surgical guide with fixation pin is situated on dental stone cast. B. Upper part of surgical guide is overlapped with under part.
jkda-2025-63-7-001f8.jpg
Fig. 9.
Surgical guide is fixed on residual alveolar ridge.
jkda-2025-63-7-001f9.jpg
Fig. 10.
Angled temporary abutment is connected to the surgically placed implant fixture.
jkda-2025-63-7-001f10.jpg
Fig. 11.
Immediate provisional restoration with 3-dimensional prinited denture is placed.
jkda-2025-63-7-001f11.jpg
Fig. 12.
Intraoral scan with and without provisional restoration is taken. The occlusion and vertical dimension information is recorded for the final prosthesis.
jkda-2025-63-7-001f12.jpg
Fig. 13.
The arrangement and design of the all-on-5 prosthesis with a CAD software.
jkda-2025-63-7-001f13.jpg
Fig. 14.
The final prosthesis is functionally and esthetically fitted with the patient. A. Right side view. B. Frontal view. C. Left side view.
jkda-2025-63-7-001f14.jpg
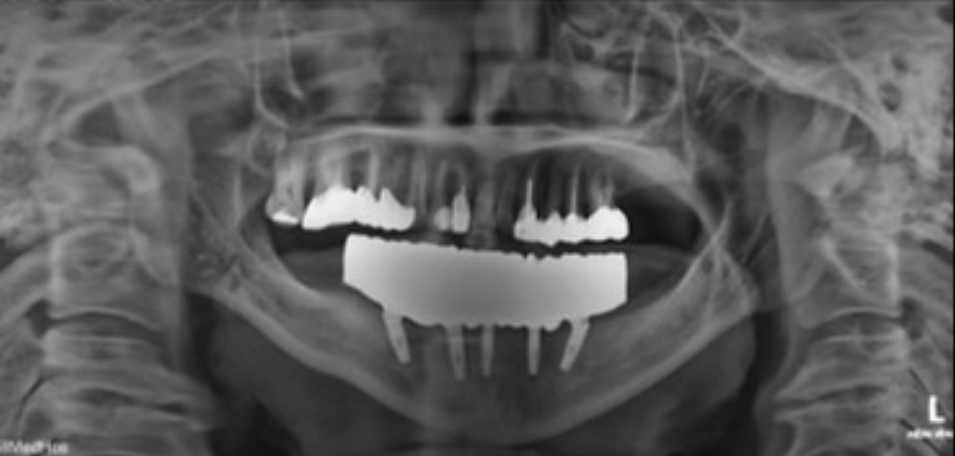
Fig. 15.
The connection of the final prosthesis is examined by panoramic view.
jkda-2025-63-7-001f15.jpg

REFERENCES

1. Taruna M, Chittaranjan B, Sudheer N, Tella S, Abusaad M. Prosthodontic perspective to all-on-4 concept for dental implants. J Clin Diagn Res 2014; 8: ZE16–9.
crossref pmid pmc
2. Haroun F, Ozan O. Evaluation of stresses on implant, bone, and restorative materials caused by different opposing arch materials in hybrid prosthetic restorations using the all-on-4 technique. Materials (Basel) 2021; 14: 4308.
crossref pmid pmc
3. Chen YC, Wang KH, Lin CL. Personalized prosthesis design in all-on-4 treatment through deep learning- accelerated structural optimization. J Dent Sci 2024; 19: 2140–9.
crossref pmid pmc
4. Sun X, Cheng K, Liu Y, Ke S, Zhang W, Wang L, et al. Biomechanical comparison of all-on-4 and all-on-4 implant-supported prostheses with alteration of anterior-posterior spread: a three-dimensional finite element analysis. Front Bioeng Biotechnol 2023; 11: 1187504.
pmid pmc
5. Türker N, Alkiş HT, Sadowsky SJ, Şebnem Büyükkaplan U. Effects of occlusal scheme on all-on-four abutments, screws, and prostheses: A three-dimensional finite element study. J Oral Implantol 2021; 47: 18–24.
crossref pmid pdf
6. Yoon D, Pannu DP, Hunt M, Londono J. Occlusal considerations for full-arch implant-supported prostheses: a guideline. Dent Rev 2022; 2: 100042.
crossref
7. Türker N, Büyükkaplan US, Sadowsky SJ, Özarslan MM. Finite element stress analysis of applied forces to implants and supporting tissues using the “all-on-four” concept with different occlusal schemes. J Prosthodont 2019; 28: 185–94.
crossref pmid pdf


Editorial Office
Korean Dental Association, 257 Gwangnaru-ro, Seongdong-gu, Seoul 04802, Korea
Tel: +82-2-2024-9100   Fax: +82-2-468-4655/58   

Copyright © 2026 by Korean Dental Association.

Developed in M2PI