구치부 복합레진 수복을 위한 스탬프 테크닉의 임상 적용 증례
Stamp technique for posterior teeth composite resin restoration: Report of 2 cases
Article information
Trans Abstract
The stamp technique is a simple method to reproduce occlusal morphology by creating an index before cavity preparation. This report presents two cases of mandibular second molars with deep occlusal caries but intact occlusal anatomy. A stamp was fabricated with flowable composite resin and applied to the final composite increment procedure. Both cases showed accurate anatomical reproduction, minimal finishing and polishing, and reduced chair time. The technique is particularly useful for Class I cavities with preserved occlusal surfaces, providing functional and esthetic benefits. Despite limitations in cases with lost occlusal anatomy or polymerization stress, the stamp technique is an efficient option that enhances clinical outcomes and patient satisfaction.
서론
오늘날 심미적인 이유로 전치부뿐 아니라 구치부에서도 복합레진 수복이 널리 시행되고 있다. 복합레진은 치아의 자연스러운 형태를 보존할 수 있는 최소 침습 수복 재료로 각광받고 있다. 그러나 복합레진 수복은 여전히 중합 수축, 미세 누출, 변색 등의 물리적 한계를 갖고 있으며, 이상적인 교두 및 와동 형태를 형성하기 위해서는 술자의 높은 숙련도와 많은 시술 시간이 요구된다는 단점이 있다[1,2].
이러한 제한점을 보완하기 위해 Waseem Riaz에 의해 소개된 스탬프 테크닉(stamp technique)은 복합레진 수복 시 교합면의 해부학적 형태를 정밀하게 재현할 수 있는 방법으로 제안되었다. 이 테크닉은 시술 전 치아의 교합면 인덱스를 제작함으로써 자연스러운 형태 복원과 함께 조정 및 연마 과정을 최소화할 수 있도록 돕는다. 와동 형성 전, 수복 대상 치아의 교합면 해부학적 형태를 반영한 인덱스를 제작하고 복합레진 최종 적층 단계에서 중합 전 인덱스를 눌러 넣음으로써, 원래의 해부학적 구조를 정확히 복원할 수 있다. 이는 결과적으로 환자의 진료 시간을 현저히 줄여주고, 수복 과정을 간소화하여 전반적인 치료 효율성을 향상시킨다[3-5].
스탬프 테크닉은 적용 방식이 비교적 간단하여 임상가가 쉽게 사용할 수 있으며, 교합면이 온전하게 보존되어 있는 경우라면 다양한 수복 상황에서 안정적이고 신뢰할 수 있는 결과를 제공한다. 다만, 교합면의 해부학적 형태가 손상되었거나 우식이 광범위한 경우에는 인덱스 제작이 어려워 적용에 제한이 있으며, 마지막 층을 단일 과정으로 수복하는 과정에서 중합 수축 응력이 집중될 수 있다는 점이 고려되어야 한다[6,7].
증례
증례 1
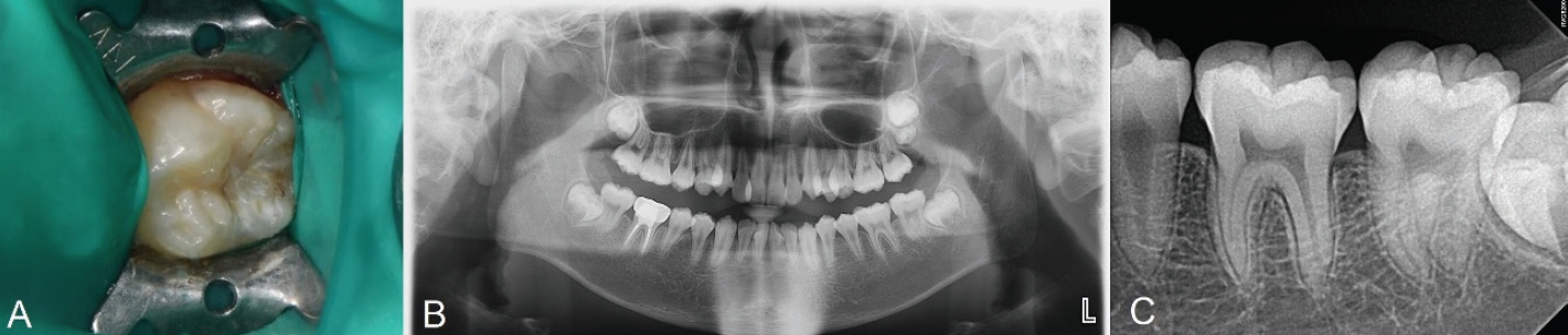
14세 남성 환자가 부산대학교치과병원 치과보존과에 좌측 하악 구치부 우식을 주소로 내원하였다. 환자의 전신 병력 및 치과 병력 특이사항은 없었다. 구내 검사에서는 좌측 하악 제2대구치에서 치면열구 우식이 관찰되었다. 교합면 형태는 보존되어 있었고, 명확한 공동(cavitation)은 관찰되지 않았다(Fig. 1A). 냉자극과 온자극에 대한 반응은 정상적이었다. 타진이나 저작에 대한 통증도 없었다. 파노라마 및 구내치근단방사선 상 상아질까지 진행된 깊은 우식을 관찰할 수 있었다(Figs. 1B and C). 이 결과를 바탕으로 우식 부위를 복합레진으로 수복하면서 스탬프 테크닉을 적용하기로 결정하였다.
Initial examination radiograph and clinical photograph. A. No loss of tooth structure is observed. B. Pre-operative radiograph. C. Caries of dentin is seen on olwer left second molar.
치료 전 1:100000 epinephrine을 포함하는 2% Lidocaine(Yuhan Corporation, Seoul, Korea)으로 우측 하악 구치부 전달마취를 시행하였다. 러버댐을 이용하여 격리를 시행하고 저속핸드피스 및 주수 하에 prophy brush를 사용해 좌측 하악 제2대구치의 교합면을 세정하였다. 이후 유동형 복합레진(Tetric N-Flow, Ivoclar Vivadent, Schaan, Liechtenstein)을 교합면에 적용하고 마이크로브러시의 팁을 손잡이로 사용하기 위해 복합레진에 위치시킨 뒤 광중합하여 스탬프를 형성하였다(Fig. 2C).
A. Caries excavation and cavity preparation is done. B. Base restoration with glass ionomer is done. C. Stamp is obtained using flowable resin and microbrush. D. Photograph after applying stamp on teeth. E. Postoperative periapical radiograph
그 후, 일반적인 와동 형성 프로토콜에 따라 우식 제거를 시행하였다. round diamond bur(BR-31;MANI, Tochigi, Japan)를 이용하여 고속 핸드피스로 주수 하에 우식을 제거하고 class I 형태의 와동을 형성하였다(Fig. 2A). 글라스아이오노머(Ketac Fil Plus Aplicap, 3M ESPE, St. Paul, USA)를 이용해 base 수복을 시행하였다(Fig. 2B). 교합면 와동은 법랑질을 10초간 35% phosphoric acid(Ultra-Etch, Ultradent, South Jordan, USA)로 산부식한 뒤 추가로 상아질에 10초간 더 산부식하고 수세하였다. 약하게 공기를 분사하여 수분을 제거한 뒤 3-step etch-andrinse system인 Adper Scotchbond Multi-Purpose Bond(3M ESPE, St. Paul, USA)의 primer를 microbrush(Microbrush International, Grafton, USA)로 5초간 도포하고 공기 분사 후 adhesive를 microbrush로 5초간 도포하고 공기 분사한 뒤 lightemitting diode(LED) 광중합기(B&Lites, B&L Biotech, Wonju, Korea)로 10초간 중합하였다.
이후 Microhybrid계 복합레진인 Filtek Z250(3M ESPE, St. Paul, USA) 이용해 교합면에서 2mm 아래까지 수복하고 20초간 광중합하였다. 최종 복합레진 적층 전에 다시 복합레진을 적용한 후 테플론 테이프를 교합면에 덮고 마이크로브러시로 만든 스탬프를 정밀하게 위치시켜 가볍게 압력을 주어 눌렀다. 스탬프 및 테플론 테이프를 제거한 뒤 과잉 재료를 레진 기구로 정리한 후 복합레진을 최종 광중합하였다(Fig. 2D). 교합지와 심스탁을 이용한 교합 검사 후 교합 조정을 시행하였다. Sof-lex spiral(3M ESPE, St. Paul, USA)로 수복물 연마를 시행하였다.
증례 2
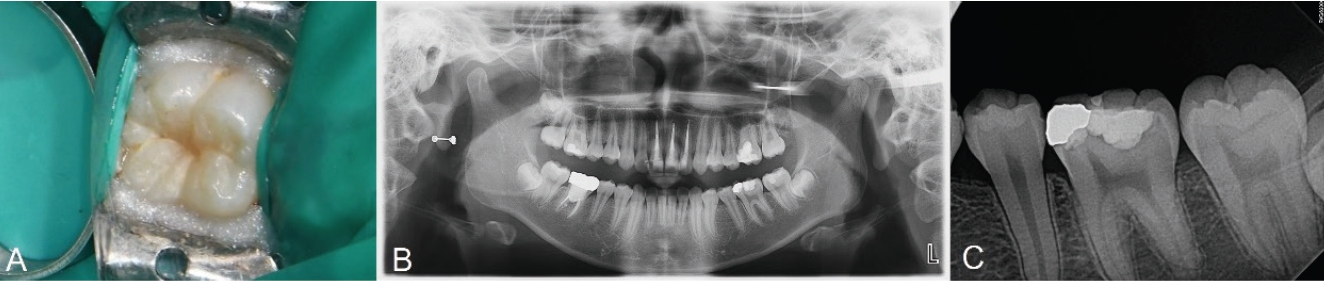
13세 여성 환자가 부산대학교치과병원 치과보존과에 좌측 하악 구치부 우식을 주소로 내원하였다. 환자의 전신 병력 및 치과 병력 특이사항은 없었다. 구내 검사에서는 좌측 하악 제2대구치에서 치면열구 우식이 관찰되었다. 교합면 형태는 보존되어 있었고, 명확한 공동(cavitation)은 관찰되지 않았다(Fig. 3A). 원심 및 설측 교합면 일부가 미맹출하여 치은판개에 덮여 있었다. 냉자극과 온자극에 대한 반응은 정상적이었다. 타진이나 저작에 대한 통증도 없었다. 파노라마 및 구내 치근단 방사선사진 상 상아질까지 진행된 깊은 우식을 관찰할 수 있었다(Figs. 3B and C). 이 결과를 바탕으로 우식 부위를 복합레진으로 수복하면서 스탬프 테크닉을 적용하기로 결정하였다.
Initial examination radiograph and clinical photograph. A. No loss of tooth structure was observed. B. Preoperative panoramic radiograph. C. Caries of dentin is seen on olwer left second molar.
치료 전 1:100000 epinephrine을 포함하는 2% Lidocaine(Yuhan Corp, Seoul, Korea)으로 우측 하악 구치부 전달마취를 시행하였다. 러버댐을 이용하여 격리를 시행하고 주수 하에 Prophy brush를 사용해 교합면을 세정하였다. 이후 유동형 복합레진(Tetric N-Flow, Ivoclar Vivadent, Schaan, Liechtenstein) 을 교합면에 적용하고 마이크로브러시의 팁을 손잡이로 사용하기 위해 복합레진에 위치시킨 뒤 광중합하여 스탬프를 형성하였다. 그 후, 일반적인 와동 형성 프로토콜에 따라 우식 제거를 시행하였다. round diamond bur를 이용하여 고속 핸드피스로 주수 하에 우식을 제거하였다. 법랑질 먼저 10초간 35% phosphoric acid로 산부식한 뒤 상아질에 10초간 추가로 산부식하고 수세하였다(Fig. 4A). 약하게 공기를 분사하여 수분을 제거한 뒤 3-step etch-and-rinse system인 Adper Scotchbond Multi-Purpose Bond의 primer를 microbrush로 5초간 도포하고, 공기 분사 후 adhesive를 microbrush로 5초간 도포하고 공기 분사한 뒤 LED 광중합기로 10초간 광중합하였다. 이후 Microhybrid계 복합레진인 Filtek Z250를 이용해 교합면에서 2mm 아래까지 수복하고 20초간 광중합하였다. 최종 복합레진 적층 전 테플론 테이프를 교합면에 덮고 제작한 스탬프를 정밀하게 위치시켜 가볍게 압력을 주었다(Fig. 4B). 스탬프 및 테플론 테이프를 조심스럽게 제거한 뒤 과잉 재료를 레진 기구로 정리하고 광중합하였다(Fig. 4C). 교합지와 심스탁을 이용한 교합 검사 후 교합 조정을 시행하였다. Sof-lex spiral로 수복물 연마를 시행하였다.
고찰
스탬프 테크닉은 교합면의 해부학적 형태가 유지된 치아에 적용할 수 있는 비교적 간단한 술식으로, 직접 복합레진 수복 시 정밀한 형태 재현이 가능하다는 점에서 임상적 가치가 높다. 특히 class I 와동 수복에 적합하며, 수복 후의 교합 조정 및 연마 과정을 최소화할 수 있어 시술 시간을 단축시키는 데 도움이 된다[4-6].
본 증례에서는 우식 병소가 깊었지만 교합면의 형태가 온전하게 유지되어 있어, 수복 전 교합면의 해부학적 구조를 스탬프로 복제하고 이를 최종 수복 시 적용함으로써 자연스러운 형태의 복원과 빠른 마무리를 동시에 달성할 수 있었다. 이러한 접근은 특히 바쁜 진료 환경이나 협조가 어려운 환자, 개구량이 제한된 환자에서 더욱 효과적으로 활용될 수 있다.
스탬프 테크닉의 가장 큰 장점은 최종 수복물의 해부학적 형태를 기존 치아와 동일하게 재현할 수 있다는 점이다. 이를 통해 수복물의 교합 간섭 가능성을 줄이고, 교합 조정 및 연마에 소요되는 시간을 현저히 감소시킬 수 있다. 또한, 복합레진 적층 시 스탬프를 이용해 압력을 가하면 레진 내의 기포 형성이나 공기 유입을 줄일 수 있다[5,6,8,9].
그러나 스탬프 테크닉은 모든 수복 상황에 적용 가능한 범용적인 기법은 아니다. 교합면의 형태가 이미 기존 수복물에 의해 왜곡되었거나, 심한 우식 또는 파절로 인해 해부학적 형태가 소실된 경우에는 정확한 스탬프 제작이 어려우므로 적합하지 않다. 또한, 복합레진의 마지막 층을 한 번에 두껍게 적층한 후 스탬프를 눌러 광중합하는 과정은 중합수축 응력이 집중되어 수복물과 치질 사이의 미세 누출을 야기해 경계면 변색, 이차우식 등의 원인이 될 수 있으며 이는 복합레진 수복에서 가장 주요한 실패 원인 중 하나로 지적된다. 이러한 문제를 보완하기 위해, 기저부의 복합레진은 점진적으로 적층하여 광중합을 반복한 후, 최종 적층에서만 스탬프를 적용하는 방식이 추천된다. 이를 통해 중합수축 위험을 최소화하고, 수복물의 내구성과 변연 밀폐력 또한 향상시킬 수 있다[3,5].
스탬프 제작에 사용되는 재료 선택 역시 임상 결과에 영향을 미칠 수 있다. 유동형 복합레진은 정밀한 형태 재현이 가능하고 조작성도 우수하나, 스탬프 제작 시 많은 양을 사용하게 될 경우 낭비가 발생할 수 있다. 이에 대한 대안으로는 유효기간이 임박한 복합레진, 투명 아크릴 레진, 블록아웃 레진 등 다양한 재료들이 제시되고 있다.
최근에는 스탬프 테크닉을 3D 프린터로 제작하거나 디지털 인상 시스템을 이용하는 연구도 시도되고 있으며, 향후 이러한 기술과 결합된다면 더욱 정밀하고 예측 가능한 수복이 가능해 질 것으로 기대된다.
결론적으로, 스탬프 테크닉은 간단하면서도 기능적, 심미적 효과를 동시에 기대할 수 있는 복합레진 수복 기법으로 적절한 적응증을 고려하여 활용한다면 환자와 술자 모두에게 긍정적인 치료 경험을 제공할 수 있다[1,2,4,9].
구치부 치아의 복합레진 수복에서 스탬프 테크닉은 치아의 교합 해부학적 구조를 정확히 복원할 수 있는 효율적이고 효과적인 방법이다. 이 테크닉은 수복 전 교합면 인상을 이용해 복합레진 최종 적층 시 이상적인 형태를 재현할 수 있도록 돕는다. 해부학적 재현의 정확성, 시술 시간 단축, 조정의 최소화 등의 장점을 제공한다. 다만, 술자 숙련도에 따라 완성도의 차이가 있을 수 있고 교합면의 초기 상태에 따라 적용이 제한될 수 있다. 그럼에도 불구하고 스탬프 테크닉은 짧은 시간 내에 기능적, 심미적 결과를 모두 향상시킴으로써 환자 만족도를 높이는 데 기여한다[8,9].
Notes
Conflicts of Interest
None
